https://www.snuh.org/board/B003/view.do?bbs_no=7280
서울대학교병원 웹진: https://webzine.snuh.org/mail/208.html
서울대병원, 폐섬유증 유전자 치료 가능성 제시
- 폐섬유증 동물 모델 및 체외배양 환자 폐조직 분석 결과 발표
- 항섬유화 유전자 TIF1γ, 간·신장에 이어 폐섬유화 치료 효과 확인

[자료1] 폐섬유증 악화 및 차단 기전. TIF1γ 유전자는 대식세포 흥분 단계, 간엽세포 형질전환 단계, 섬유모세포 활성화 단계에서 모두 차단효과를 발휘함.
심각한 호흡장애를 초래할 수 있지만 마땅한 치료 방법이 없던 폐섬유증의 새로운 치료 가능성이 제시됐다. 섬유화 억제 유전자 ‘TIF1γ’가 간경변·신장섬유증에 이어 폐섬유증에서도 치료 효과를 보인다는 사실을 국내 연구진이 세계 최초로 규명해 ‘Molecular Therapy(IF;12)’에 게재했다.
폐섬유증은 폐 세포가 딱딱한 섬유조직으로 변화하는 난치성 호흡기 질환이다. 진행될수록 폐 기능이 떨어져 저산소증이 발생하며, 심각한 호흡장애로 이어질 수 있다. 그러나 한 번 섬유화된 폐 조직은 회복이 어렵고, 섬유화를 막을 방법이 존재하지 않아 치료에 한계가 있었다.
서울대병원 의생명연구원 김효수·이은주 교수(서울대 문도담 박사) 연구팀은 동물모델과 체외배양 환자 폐조직을 분석해 폐섬유증의 유전자 치료 가능성을 확인했다고 2일 발표했다.
연구팀은 항섬유화 유전자 ‘TIF1γ’를 잠재적 치료제로 주목했다. 이 유전자는 연구팀의 기존 연구를 통해 간·신장에서 섬유화 억제 효과가 확인된 바 있으며, 실제 폐섬유증 환자의 폐조직을 분석하자 TIF1γ 발현이 건강한 사람보다 현저히 낮아져 있었다.
이후 코돈 최적화로 발현을 극대화하고, 벡터 백본과 나노지질체를 적용해 임상 가능성을 높인 TIF1γ 유전자치료제를 폐섬유증 동물 모델에 투여해 세포 변화를 확인했다.
그 결과, TIF1γ는 폐섬유증 악화 기전(독소물질→대식세포 활성화→염증성 사이토카인 분비→폐상피세포(AT2)가 섬유모세포로 변화&섬유모세포 활성화)에 관여하는 세포를 복합적으로 조절해 섬유화를 억제하는 것으로 나타났다. 즉, TIF1γ 치료군의 폐에서는 대식세포가 억제돼 염증 사이토카인 분비가 감소했으며, 폐상피세포의 변화 및 섬유모세포의 섬유화 활성화를 촉진하는 TGF-β 신호도 차단됐다. 이는 섬유화 진행을 억제하여 폐 기능이 개선되는 결과로 이어졌다.

[자료2] TIF1γ 유전자의 섬유화 차단 기전. (1)TIF1γ는 AT2 세포와 섬유모세포에서 TGF-β 신호를 차단하고, (2)대식세포에서 염증 신호 경로(NF-kB, MAPK)를 복합적으로 차단하여 강력한 효과를 보임
추가적으로 체외 배양한 인간 폐조직 실험에서도 TIF1γ 유전자치료제의 효과는 동일했다. 이 결과는 단일 유전자 치료만으로 폐섬유증을 효과적으로 억제할 수 있음을 보여주며, 섬유화 질환에 대한 혁신적인 바이오치료제 개발 가능성을 제시한다고 연구팀은 설명했다.

[자료3] 미세CT 기반 동물 폐조직 분석. TIF1γ 적용 후 섬유화 영역(빨간색)이 감소함

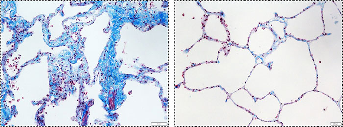
[자료4] 체외배양 인간 폐조직 분석. TIF1γ 적용 후 섬유화로 인한 콜라겐 침착(파란색)이 감소되고 폐포의 구조가 유지됨
김효수 교수는 “현재 임상 적용이 가능한 고품질 TIF1γ 유전자 치료제를 완성하기 위해 GMP 공정 개발 단계를 수행 중”이며 “개발이 완료되면 안전성 평가 및 임상시험 진입을 모색하여 간경변증·신장섬유증·폐섬유증 등 다양한 장기조직의 섬유증 치료에 사용할 수 있는 유전자 치료제로 개발하겠다”고 말했다.
한편, 이번 연구는 보건복지부 및 한국보건산업진흥원 연구중심병원사업(HI14C1277)의 지원으로 수행됐다.

[사진 왼쪽부터] 서울대병원 의생명연구원 김효수·이은주 교수, 서울대 문도담 박사
출처: 서울대학교병원
https://www.snuh.org/board/B003/view.do?bbs_no=7280
https://www.snuh.org/board/B003/view.do?bbs_no=7280
서울대학교병원 웹진: https://webzine.snuh.org/mail/208.html
서울대병원, 폐섬유증 유전자 치료 가능성 제시
- 폐섬유증 동물 모델 및 체외배양 환자 폐조직 분석 결과 발표
- 항섬유화 유전자 TIF1γ, 간·신장에 이어 폐섬유화 치료 효과 확인
[자료1] 폐섬유증 악화 및 차단 기전. TIF1γ 유전자는 대식세포 흥분 단계, 간엽세포 형질전환 단계, 섬유모세포 활성화 단계에서 모두 차단효과를 발휘함.
심각한 호흡장애를 초래할 수 있지만 마땅한 치료 방법이 없던 폐섬유증의 새로운 치료 가능성이 제시됐다. 섬유화 억제 유전자 ‘TIF1γ’가 간경변·신장섬유증에 이어 폐섬유증에서도 치료 효과를 보인다는 사실을 국내 연구진이 세계 최초로 규명해 ‘Molecular Therapy(IF;12)’에 게재했다.
폐섬유증은 폐 세포가 딱딱한 섬유조직으로 변화하는 난치성 호흡기 질환이다. 진행될수록 폐 기능이 떨어져 저산소증이 발생하며, 심각한 호흡장애로 이어질 수 있다. 그러나 한 번 섬유화된 폐 조직은 회복이 어렵고, 섬유화를 막을 방법이 존재하지 않아 치료에 한계가 있었다.
서울대병원 의생명연구원 김효수·이은주 교수(서울대 문도담 박사) 연구팀은 동물모델과 체외배양 환자 폐조직을 분석해 폐섬유증의 유전자 치료 가능성을 확인했다고 2일 발표했다.
연구팀은 항섬유화 유전자 ‘TIF1γ’를 잠재적 치료제로 주목했다. 이 유전자는 연구팀의 기존 연구를 통해 간·신장에서 섬유화 억제 효과가 확인된 바 있으며, 실제 폐섬유증 환자의 폐조직을 분석하자 TIF1γ 발현이 건강한 사람보다 현저히 낮아져 있었다.
이후 코돈 최적화로 발현을 극대화하고, 벡터 백본과 나노지질체를 적용해 임상 가능성을 높인 TIF1γ 유전자치료제를 폐섬유증 동물 모델에 투여해 세포 변화를 확인했다.
그 결과, TIF1γ는 폐섬유증 악화 기전(독소물질→대식세포 활성화→염증성 사이토카인 분비→폐상피세포(AT2)가 섬유모세포로 변화&섬유모세포 활성화)에 관여하는 세포를 복합적으로 조절해 섬유화를 억제하는 것으로 나타났다. 즉, TIF1γ 치료군의 폐에서는 대식세포가 억제돼 염증 사이토카인 분비가 감소했으며, 폐상피세포의 변화 및 섬유모세포의 섬유화 활성화를 촉진하는 TGF-β 신호도 차단됐다. 이는 섬유화 진행을 억제하여 폐 기능이 개선되는 결과로 이어졌다.
[자료2] TIF1γ 유전자의 섬유화 차단 기전. (1)TIF1γ는 AT2 세포와 섬유모세포에서 TGF-β 신호를 차단하고, (2)대식세포에서 염증 신호 경로(NF-kB, MAPK)를 복합적으로 차단하여 강력한 효과를 보임
추가적으로 체외 배양한 인간 폐조직 실험에서도 TIF1γ 유전자치료제의 효과는 동일했다. 이 결과는 단일 유전자 치료만으로 폐섬유증을 효과적으로 억제할 수 있음을 보여주며, 섬유화 질환에 대한 혁신적인 바이오치료제 개발 가능성을 제시한다고 연구팀은 설명했다.
[자료3] 미세CT 기반 동물 폐조직 분석. TIF1γ 적용 후 섬유화 영역(빨간색)이 감소함
[자료4] 체외배양 인간 폐조직 분석. TIF1γ 적용 후 섬유화로 인한 콜라겐 침착(파란색)이 감소되고 폐포의 구조가 유지됨
김효수 교수는 “현재 임상 적용이 가능한 고품질 TIF1γ 유전자 치료제를 완성하기 위해 GMP 공정 개발 단계를 수행 중”이며 “개발이 완료되면 안전성 평가 및 임상시험 진입을 모색하여 간경변증·신장섬유증·폐섬유증 등 다양한 장기조직의 섬유증 치료에 사용할 수 있는 유전자 치료제로 개발하겠다”고 말했다.
한편, 이번 연구는 보건복지부 및 한국보건산업진흥원 연구중심병원사업(HI14C1277)의 지원으로 수행됐다.
[사진 왼쪽부터] 서울대병원 의생명연구원 김효수·이은주 교수, 서울대 문도담 박사
출처: 서울대학교병원
https://www.snuh.org/board/B003/view.do?bbs_no=7280